ほんとだ……。
自分の脳をMRI撮影した人がX(Twitter)で話題です。画像に現れたものが反響を呼び、投稿は記事執筆時点で210万件表示を突破し、約5万3000件のいいねを集めています。
2枚の画像を投稿
投稿したのは、東京大学大学院で先端表現情報学を学ぶ画家・真田将太朗(@tarobee1212)さん。以前、東京芸術大学在学中に自身が描いた絵について、その作者だと気付いていない鑑賞者から“謎の説教”をされたことが話題になりました(関連記事)。
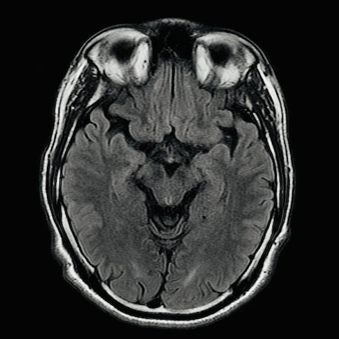
今回は、研究のために撮影した自身の脳のMRI画像が注目を集めました。投稿した2枚の写真では、横からの断面はごくごく普通の頭部に見えますが、上からの断面は邪悪な笑みを浮かべる口のように見える部分が存在しています。


「急に闇堕ちした熊のプーさん登場」
真田さんは「『俺の頭ってこうなってるのか〜』って感心してたら、急に闇堕ちした熊のプーさん登場してやばかった」とコメントしました。確かに、口の少し上がクマの鼻、その両側が不気味な笑みを浮かべる目、上端の眼球部分がクマの耳と考えると、2023年公開のホラー映画「プー あくまのくまさん」に登場する“闇堕ちしたプーさん”にそっくりです。

MRI画像に突如現れた闇堕ちプーさんに、Xでは「頭ん中にプーさん飼っとるんか!」「悪魔的な脳や……」「オオスズメバチのハチミツ食べてそう」「キミの脳みそ食べたいなぁ……」「ぼく、プーさん“だった”よ」「はちみつ食〜べたいな〜」と、面白がる声が寄せられています。
真田さんは、11月7〜11日に開催される「東京大学制作展」に、今回のMRI撮影を伴う研究に関連した作品を発表するそうです。他にも、真田さんの作品はXやInstagram(@tarobee1212)で確認できます。
画像提供:真田将太朗(@tarobee1212)さん