メーカーや店舗を評価する声も。
100円ショップで販売されている高級食材入りの調味料を顕微鏡で見たという投稿がX(旧Twitter)で話題に。記事執筆時には9万8000件もの「いいね」が寄せられていました。

100円ショップ「ダイソー」で売っている「ハチ食品 トリュフ塩 18グラム」(108円)
「黒いダイヤ」が100円ショップに!?
「世界三大珍味」であるトリュフは「黒いダイヤ」とも呼ばれる希少なきのこで、フレンチやイタリアンの香りづけに使われます。一方、メジャーな100円ショップのひとつ「ダイソー」にて、108円で販売されていたのが「ハチ食品 トリュフ塩 18グラム」(以下、トリュフ塩)。
Xユーザーのまつもと(@_matsup_)さんは、その「トリュフ塩」に入っていた黒いつぶが本当にトリュフなのかが気になり、顕微鏡で見てみたそうです……。

これはいったい……
顕微鏡で観察した結果は
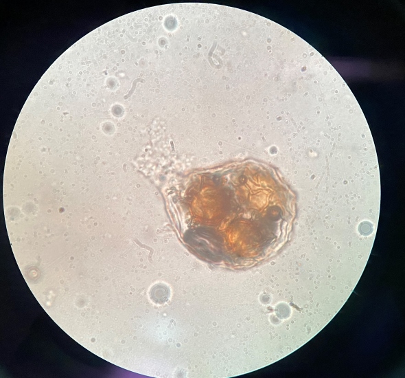
さて、まつもとさんが「トリュフ塩」を顕微鏡で観察したところ、「ホンマにトリュフが入ってた」とのこと。アップで撮影されている、丸いつぶの塊が“トリュフ”のようです。

これがトリュフ?

いくつも胞子が見えるようです
それにしても、どうして丸いつぶがトリュフだとわかったのでしょうか。
実際に調べる行動力もすごい
植物や生物に詳しいまつもとさんは、黒いつぶが本当にトリュフなら“きのこ”であるため、胞子が見えるはずだと考えたのでしょう。黒いつぶをピンセットでつぶし、顕微鏡での観察の時に使うスライドガラスとカバーガラスで挟んだ状態、「プレパラート」を作ったとのことでした。
「プレパラート」ってめっちゃ懐かしい響きって思った人、少なくないはず
そして、顕微鏡をのぞいた結果、まさかの胞子が。まつもとさんの好奇心と行動力で、手軽に買える「トリュフ塩」が実は本格派だったことが明らかになったと言えそうです。
トリュフの正体に驚き
まつもとさんがトリュフの胞子を顕微鏡で観察したことについて、「トリュフって拡大するとこんな感じなんだ…?」「どうせ偽物という疑惑が晴れました」「トリュフって生き物みたい……」「顕微鏡あるのが凄いww」「…こんなことする人って最高ですね」「最高の宣伝やん」などの声が寄せられていました。
また、「トリュフ塩」については、「ちょうど昨日、マックのポテトの香り付けに使った。袋を開けた瞬間、トリュフの香りがしたよ」「ハチ食品なら間違いない。日本の食の基本を支える老舗企業」「ダイソー凄い」などのコメントがありました。
画像提供:まつもと(@_matsup_)さん
(谷町邦子 Facebook/X(旧Twitter))