寄生虫「クドア」が原因でした。
食中毒が発生した店舗

食中毒が発生した海鮮料理屋「旬魚 左阿彌」(公式サイトより)
advertisement
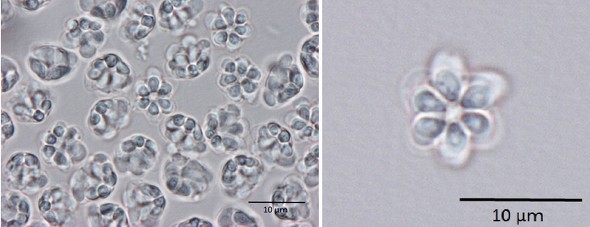
寄生虫「クドア」

寄生虫「クドア」(厚生労働省公式サイトより)
advertisement
名鉄百貨店の謝罪文

名鉄百貨店の発表(公式サイトより)
advertisement
関連記事を見る
今日の漢字クイズ 問題

寄生虫「クドア」が原因でした。

食中毒が発生した海鮮料理屋「旬魚 左阿彌」(公式サイトより)

寄生虫「クドア」(厚生労働省公式サイトより)

名鉄百貨店の発表(公式サイトより)
